Explore our smile gallery to see the amazing results Dr. David Peterson has helped his patients achieve! To learn more about our dental services and schedule your one-on-one consultation with our experienced dentist in Sandy, Utah, please contact The Dental Studio today at 801-278-4787. We look forward to helping you achieve your dream smile!
Minimally Prepared Veneers
No Preparation Veneers
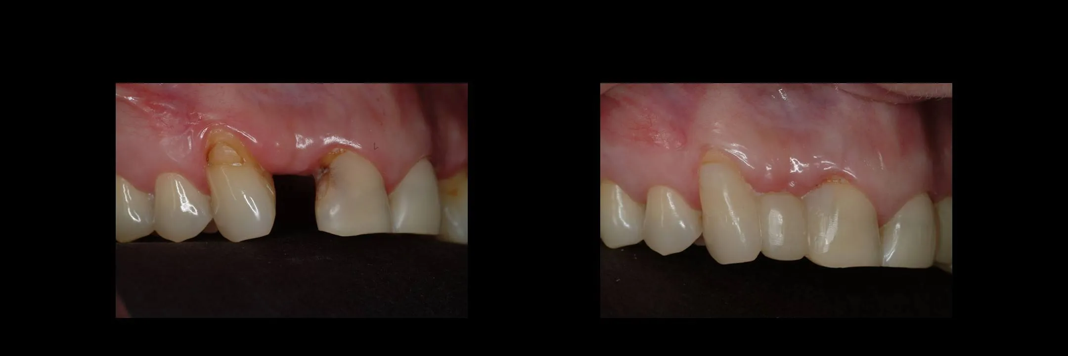
Single-Implant Restoration
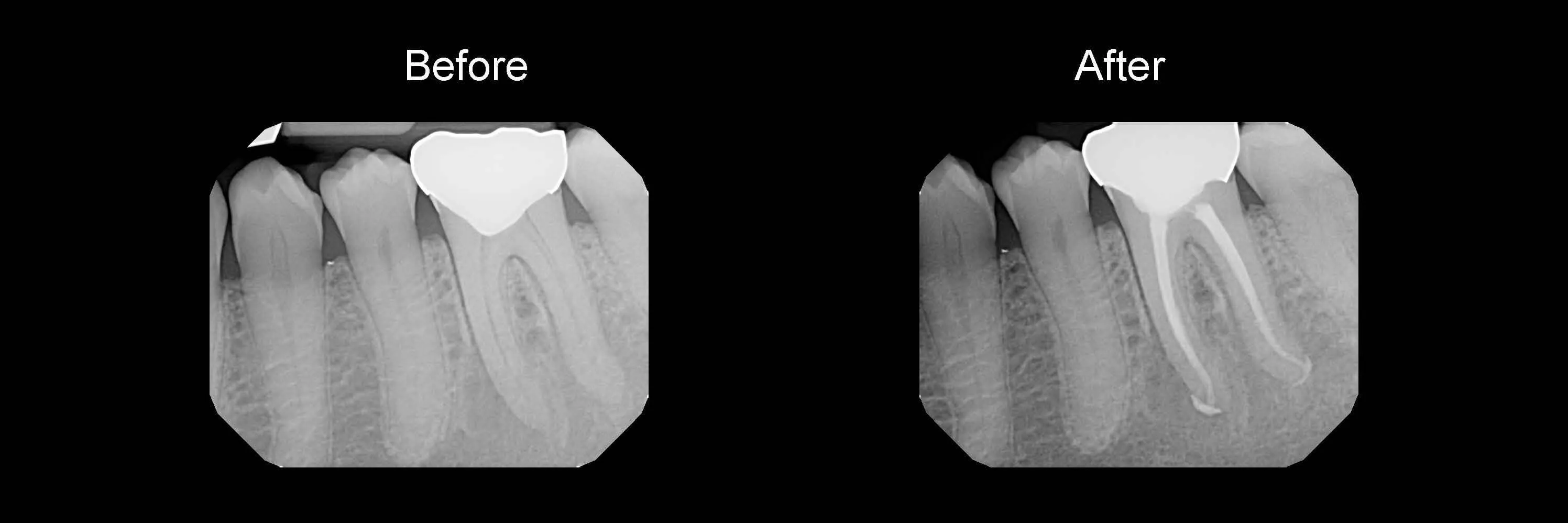
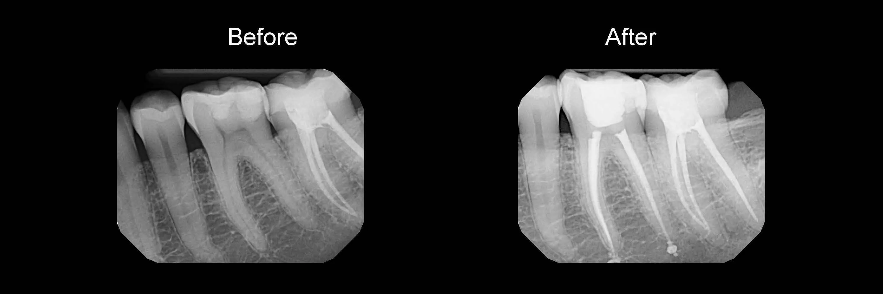
Safe Root Canals Using Sonendo
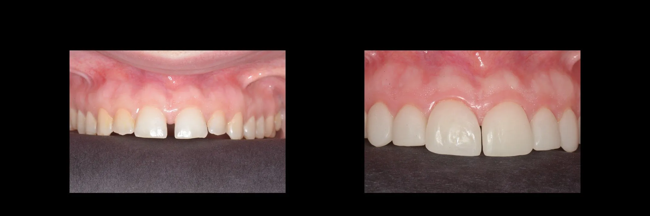
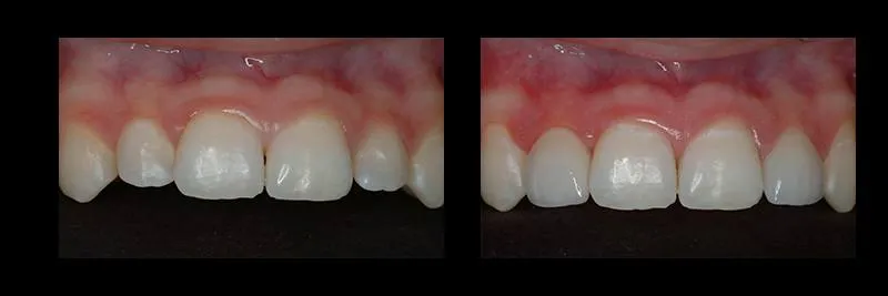
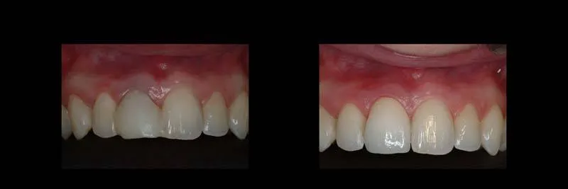
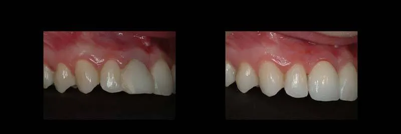
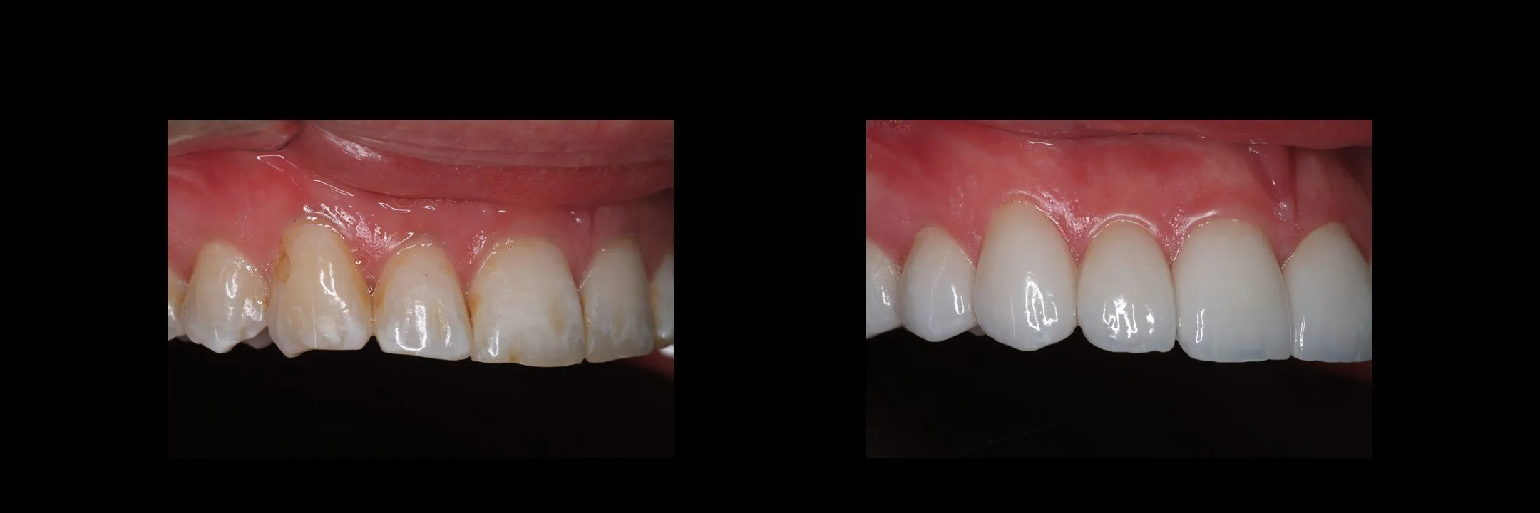
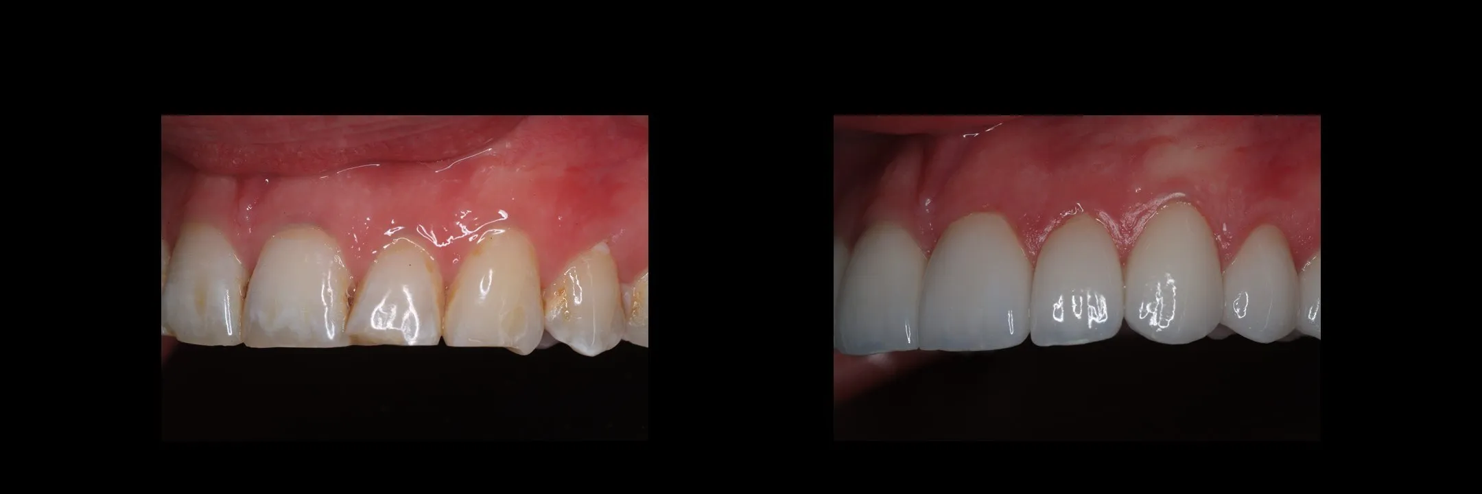
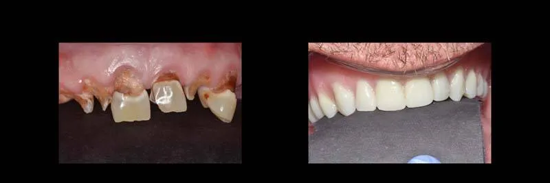
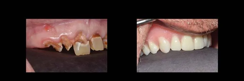
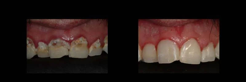
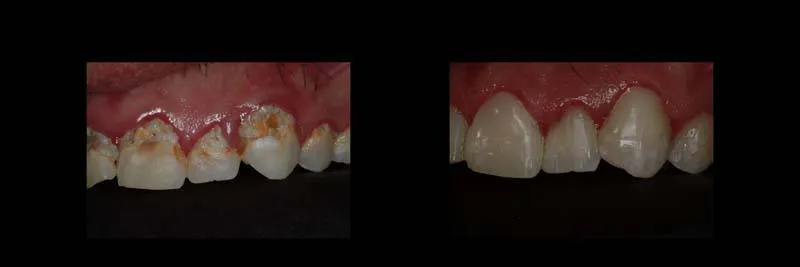
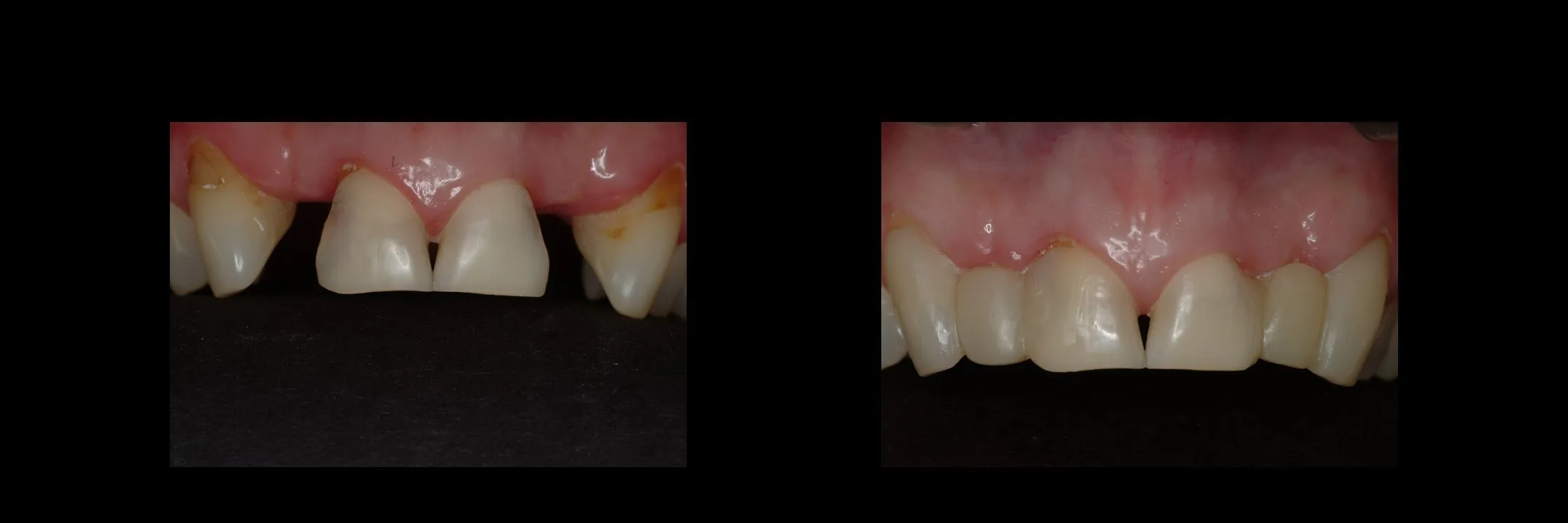
Porcelain Veneers
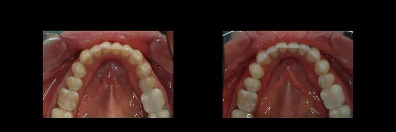
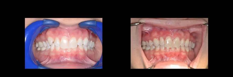
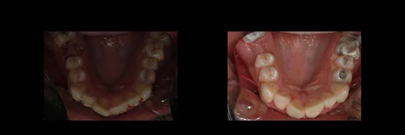
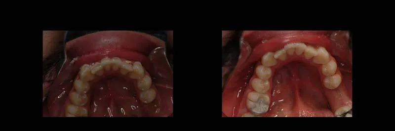
Invisalign® Aligners Full
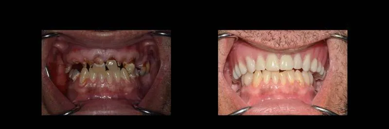
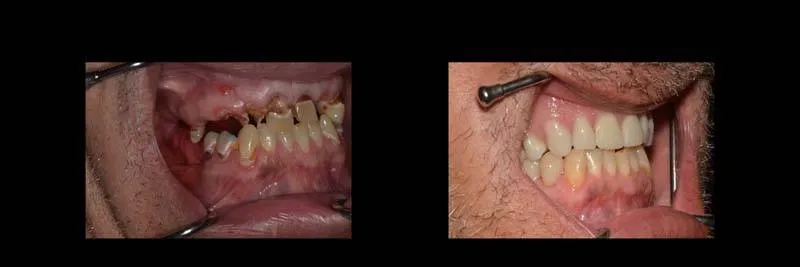
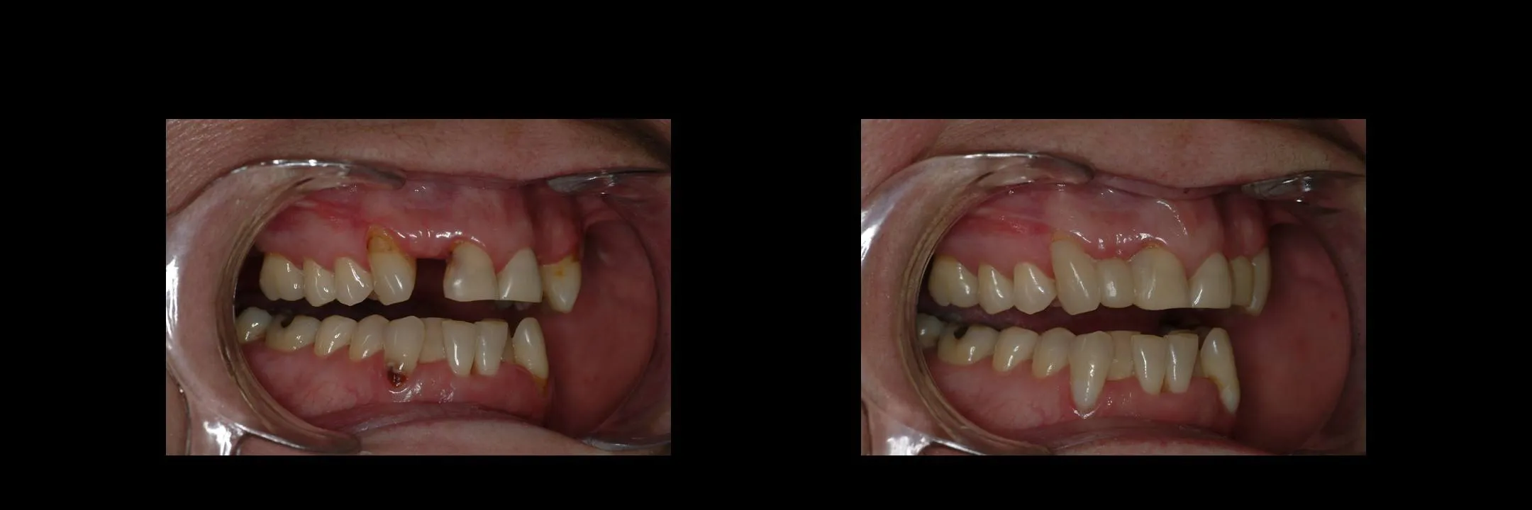
Full-Mouth Rehabilitation
Excisional Biopsy
Bone Graft
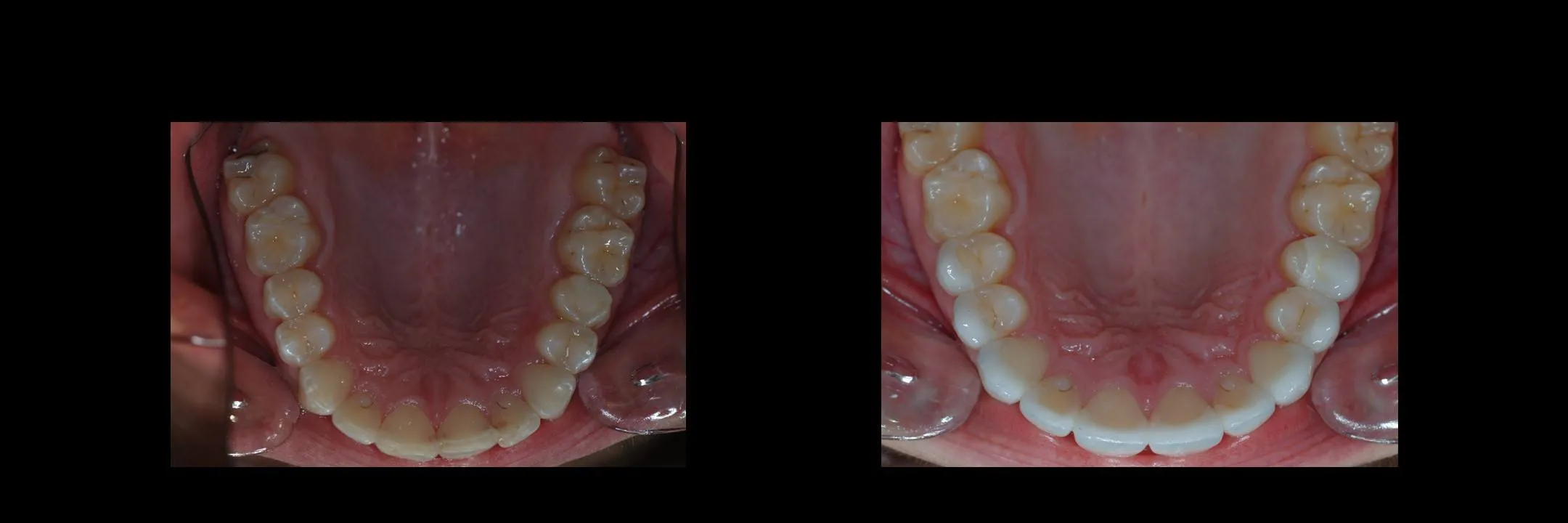
Composite Restoration & Hygiene Coaching
Provisional/Temporary Bridges






































































































































